NHP farmakologiyasi
15 yildan ortiq NHP tadqiqot tajribasi bilan biz insoniy bo'lmagan primat (NHP) modellarini aniq tanlash va ishonchli tadqiqot natijalarini ta'minlaymiz va shu bilan dori ishlab chiqish samaradorligini oshiramiz. Turli ehtiyojlarga asoslanib, biz professional buyurtma xizmatlarini taklif qilamiz va mijozlarimizning eksperimental rejalari va tadqiqot maqsadlari bilan to'liq hamkorlik qilamiz. Bundan tashqari, biz IACUC va boyitish dasturlarimiz orqali hayvonlar farovonligini birinchi oʻringa qoʻyamiz, barcha tadqiqot amaliyotlari axloqiy boʻlishini va parvarishning eng yuqori standartlarini qoʻllab-quvvatlaymiz. Siz biz haqimizda quyidagi modelni joriy etish orqali koʻproq maʼlumot olishingiz mumkin yoki bevosita professional xizmat koʻrsatish guruhimizga murojaat qilishingiz mumkin.

Prisys Biotechnology-da biz sizning tadqiqotlaringizga NHP modellarining xilma-xil portfeli bilan yordam beramiz, ular keng terapevtik sohalarni o'z ichiga oladi.Immunologiya va yallig'lanish, qon ketish va ivish, kardiometabolizm, nefrologiya, respirologiya, markaziy asab tizimi/nevrologiya, fibroz, oftalmologiya va boshqalar.Bizning NHP farmakologiya xizmatlari inson biologiyasini yaqindan aks ettiradigan, klinikadan oldingi tadqiqotlar va klinik muvaffaqiyat o'rtasidagi tafovutni bartaraf etadigan sharoitda dori samaradorligi, xavfsizligi va farmakokinetikasi haqida muhim ma'lumotlarni taqdim etadi. Ilmiy xodimlarimiz o'rtacha 15 yildan ortiq tajribaga ega bo'lib, Prisys bilan ishlaganingizda ko'proq narsani kutishingiz mumkin.
Giyohvand moddalarga nomzodlaringizning to‘liq terapevtik salohiyatini ochish va tadqiqotingizni keyingi bosqichga ko‘tarish uchun biz bilan hamkorlik qiling. Prisysda biz tadqiqot hayvonlarimizni axloqiy manbalardan topish va davolashga ustuvor ahamiyat beramiz. Bizning NHPlarimiz tadqiqot maqsadlari uchun fermer xo'jaligida etishtiriladi va biz ta'minot zanjirimiz yaxlitligini ta'minlash uchun muntazam tekshiruvlardan o'tamiz. Hayvonlar to'g'risida batafsil ma'lumot va etkazib beruvchining kelib chiqishi mijozning iltimosiga binoan mavjud. Biz, shuningdek, AAALAC akkreditatsiyadan o'tgan muassasa ekanligimizdan faxrlanamiz, bu esa hayvonlarga g'amxo'rlik va farovonlikning eng yuqori standartlariga sodiqligimizni yana bir bor namoyish etadi.
NHP farmakologiyasining afzalliklari nimada?
Kengaytirilgan tarjima qiymati
NHP modellari inson biologiyasiga juda o'xshab, klinik natijalarni aniqroq bashorat qilishni ta'minlaydi va klinikadan oldingi tadqiqotlardan klinik sinovlarga silliq o'tishni osonlashtiradi.
Rivojlanish xavfining kamayishi
NHP modellari potentsial xavfsizlik va samaradorlik muammolarini erta aniqlash, xavflarni minimallashtirish va dori vositalarini ishlab chiqishda resurslarni taqsimlashni optimallashtirish imkonini beradi.
Keng qamrovli kasalliklar modellari
Turli xil inson kasalliklarini taqlid qiluvchi, murakkab patologiyalarni tekshirish va maqsadli davolash usullarini baholash imkonini beruvchi yaxshi tavsiflangan NHP modellarining xilma-xil portfeli.
Dori vositalarining tez rivojlanishi
NHP modellari dori samaradorligi va xavfsizligi haqida qimmatli tushunchalar beradi, bu esa dori vositalarini tezroq va samaraliroq ishlab chiqish vaqtini aniqlash imkonini beradi.
Yaxshilangan bashorat qilish kuchi
NHP modellari inson fiziologiyasi va kasalliklarining aniqroq tasvirini taklif qiladi, bu esa an'anaviy klinikagacha bo'lgan modellarga nisbatan klinik samaradorlik va xavfsizlikni ishonchliroq bashorat qilishga olib keladi.
Ilg'or tadqiqot usullari
Aniq qarorlar qabul qilish uchun keng qamrovli va tushunarli ma'lumotlarni taqdim etish uchun telemetriya, tasvirlash va molekulyar tahlillar kabi ilg'or texnologiyalardan foydalanish.
NHP farmakologiyasining turlari
Prisys Biotechning Immunologiya va Yallig'lanish modeli inson immun tizimini taqlid qiluvchi NHP modellaridan foydalangan holda immunitet reaktsiyalari va yallig'lanish jarayonlarini tushunishga qaratilgan. Ular otoimmün kasalliklar, surunkali yallig'lanish, allergiya, transplantatsiyani rad etish va yallig'lanishli yuqumli kasalliklarni modellashtirishga ixtisoslashgan. Platforma ilg'or immunologiya tahlillari, in vivo tasvirlash va bio-namuna olish bilan dori vositalarini ishlab chiqishni qo'llab-quvvatlaydi, bu aniq va keng qamrovli terapevtik samaradorlik va xavfsizlikni baholashni ta'minlaydi.
Prisys Biotech kompaniyasining qon ketish va qon ivish kasalliklari bo'yicha tadqiqotlari gematologik kasalliklar uchun juda tarjima qilinadigan modelni taqdim etadi. U gemostaz, gemofiliya, intraserebral qon ketish va tromboz uchun modellarni taklif etadi, bu esa koagulyatsiyani batafsil tahlil qilish va terapevtik baholash imkonini beradi. Muassasa yuqori sifatli tadqiqot natijalari uchun professional guruh tomonidan qo'llab-quvvatlanadigan jarrohlikdan keyingi parvarishlash uchun steril bo'linmalar va ICUga ega 1000 m² laboratoriyaga ega.
Prisys Biotech kompaniyasining Kardiyometabolizm kasalliklari tadqiqoti ilg'or tasvirlash va diagnostika vositalarini (MRI, DSA, DEXA, ultratovush) o'z ichiga oladi va lipid profilini aniqlash va glyukoza almashinuvi uchun bir qator tahlillarni qo'llab-quvvatlaydi. U NASH, giperkolesterolemiya, insulin qarshiligi, giperlipidemiya, semizlik va diabet uchun modellarni taklif etadi, bu maqsadli davolash usullarini ishlab chiqishni osonlashtiradi va davolashning klinik tarjimasini tezlashtiradi.
Prisys Biotech nefrologiya tadqiqotlari uchun NHP modellarining keng qamrovli to'plamini taklif etadi, jumladan Surunkali buyrak kasalligi (CKD), O'tkir buyrak shikastlanishi (AKI), Fokal segmental glomeruloskleroz (FSGS) va IgA nefropatiya (IgAN). Ushbu modellar telemetriya va tasvirlash kabi ilg'or texnikalar bilan birgalikda kasallik mexanizmlari haqida qimmatli tushunchalar beradi va yangi davolash usullarini ishlab chiqishga yordam beradi.
Prisys Biotechnology astma, KOAH, o'pka fibrozi va o'tkir o'pka shikastlanishi kabi NHP respirator kasalliklarining keng qamrovli modellarini taqdim etadi, bu kasallik mexanizmlarini o'rganish va yangi davolash usullarini baholash imkonini beradi. Aniq ma'lumotlarni olish uchun o'pka funktsiyasi testlari va bronkoskopiya kabi ilg'or usullar qo'llaniladi.
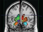
Prisys Biotech kompaniyasining CNS/Neurology modeli Altsgeymer, Parkinson va epilepsiya kabi kasalliklar uchun keng qamrovli modellarni ishlab chiqish uchun MRI bo'yicha neyroxirurgiya va sun'iy intellektga asoslangan xulq-atvor tahlili kabi ilg'or texnologiyalardan foydalanadi. Odamlarga yaqin genetik va fiziologik o'xshashliklari tufayli odam bo'lmagan primatlardan foydalanish, ularning yondashuvi kasalliklarni modellashtirish va terapevtik baholashning aniqligini oshiradi, klinikadan oldingi tadqiqotlar va inson klinik sinovlari o'rtasidagi tafovutni yo'qotadi.
Prisys Biotechnology buyrak, o'pka, jigar va yurak fibrozini o'z ichiga olgan fibroz tadqiqoti uchun turli NHP modellarini taklif etadi. Ushbu modellar fibrotik mexanizmlarni tekshirish va anti-fibrotik terapiyani baholashni osonlashtiradi. Keng qamrovli baholash uchun ilg'or tasvirlash va gistologik usullar qo'llaniladi.
Prisys Biotechnology turli oftalmik kasalliklar, jumladan, diabetik retinopatiya, yoshga bog'liq makula nasli va glaukoma uchun NHP modellarini taqdim etadi. Ushbu modellar yangi davolash usullarini baholash va kasallikning asosiy mexanizmlarini o'rganish imkonini beradi. Aniq baholash uchun OCT va fundus fotosurati kabi ilg'or tasvirlash usullari qo'llaniladi.
NHP farmakologiyasini qo'llash
Dori samaradorligini baholash
NHP modellari inson tanasiga chambarchas o'xshash murakkab biologik tizimda dori samaradorligini baholash imkonini beradi, an'anaviy preklinik modellarga nisbatan klinik natijalarni aniqroq bashorat qilishni ta'minlaydi.
Dori xavfsizligini baholash
NHP modellaridan foydalangan holda, tadqiqotchilar giyohvand moddalarga nomzodlarni insoniy sinovlarga o'tkazish, xavflarni minimallashtirish va klinik rivojlanish strategiyalarini optimallashtirishdan oldin potentsial xavfsizlik muammolari va salbiy ta'sirlarni aniqlashlari mumkin.
Farmakokinetika va farmakodinamikani o'rganing
NHP modellari dori dozalari va formulalarini optimallashtirish imkonini beruvchi inson fiziologiyasi bilan chambarchas parallel bo'lgan tizimda dori-darmonlarning so'rilishini, tarqalishini, metabolizmini va chiqarilishini (ADME) tushunish uchun qimmatli platformani taqdim etadi.
Kasallik mexanizmlarini o'rganing
NHP modellari turli kasalliklarning asosiy mexanizmlarini o'rganish uchun noyob imkoniyatni taqdim etadi, bu kasallikning patogenezini chuqurroq tushunishga va yangi terapevtik maqsadlarni aniqlashga olib keladi.
Maqsadli ishtirok va biomarker identifikatsiyasini tasdiqlang
NHP modellaridan foydalanish orqali tadqiqotchilar maqsadli ishtirokni tasdiqlashlari va dori samaradorligini kuzatish va inson sinovlarida klinik javobni bashorat qilish uchun ishlatilishi mumkin bo'lgan potentsial biomarkerlarni aniqlashlari mumkin.
NHP farmakologiyasi va an'anaviy kemiruvchilar farmakologiyasi o'rtasidagi asosiy farqlar
Kengaytirilgan tarjima aloqadorligi
NHPlar kemiruvchilarga qaraganda odamlar bilan ko'proq genetik va fiziologik o'xshashliklarga ega, bu esa klinik natijalarni aniqroq bashorat qilish va tarjima qiymatini yaxshilash imkonini beradi.
Murakkab kasalliklarni modellashtirish
NHP modellari insonning yanada murakkab kasalliklari va patologiyalarini, jumladan, kemiruvchilar modellarida takrorlash qiyin bo'lgan murakkab immunitet reaktsiyalari va yuqori darajadagi kognitiv funktsiyalarni takrorlashi mumkin.
Bashoratli farmakokinetika
NHPlar odamlarga yaqinroq bo'lgan dori metabolizmi va farmakokinetik profillarini namoyish etadi, bu esa dozani optimallashtirish va inson ta'sirini bashorat qilish uchun ishonchli ma'lumotlarni taqdim etadi.
Ilg'or tergov usullari
NHPlarning kattaroq o'lchamlari va fiziologik o'xshashligi ilg'or tasvirlash, telemetriya va murakkab jarrohlik muolajalari kabi yanada murakkab tadqiqot usullaridan foydalanishga imkon beradi, bu esa chuqurroq tekshiruvlar va ma'lumotlarni yig'ish imkonini beradi.
TSS
Biz bilan qanday hamkorlik qilish mumkin?
Maslahat va o'quv dizayni
Muayyan tadqiqot ehtiyojlaringiz, maqsadlaringiz va terapevtik sohangizni tushunish uchun jarayonni keng qamrovli maslahat bilan boshlaymiz. Bizning ilmiy jamoamiz eksperimental talablaringizning nuanslarini tushunish uchun siz bilan yaqindan hamkorlik qiladi va dastlabki tadqiqot loyihasini ishlab chiqishga olib keladigan eng mos NHP modellari va metodologiyalari bo'yicha ekspert ko'rsatmalarini beradi.
O'rganishni optimallashtirish va tasdiqlash
Dastlabki dizaynga asoslanib, Prisys Biotech NHP farmakologiya xizmatini eksperimental maqsadlaringizga aniq moslashtirish uchun moslashtiradi. Bunga tegishli NHP modellarini tanlash, o'rganish parametrlarini aniqlash, tadqiqotingiz uchun zarur bo'lgan har qanday maxsus texnika yoki so'nggi nuqtalarni birlashtirish va o'rganish protokolini yakunlash bilan yakunlash kiradi.
Taklif va kotirovka
Tadqiqot loyihasini tasdiqlaganingizdan so'ng, Prisys sizga batafsil loyiha taklifi va keng qamrovli taklifni taqdim etadi. Ushbu hujjat tadqiqotni boshlashdan oldin hamkorlikning barcha jihatlari bo'yicha shaffoflik va kelishuvni ta'minlab, tadqiqot dizayni, muddatlari, xarajatlari va natijalarini aniq belgilab beradi.
Axloqiy ko'rib chiqish va muvofiqlik
O'qishni boshlashdan oldin Prisys Biotech barcha protokollar qat'iy axloqiy tekshiruvdan o'tishini ta'minlaydi. Ushbu qadam hayvonlarning farovonligi standartlari va me'yoriy talablarga rioya qilishni kafolatlaydi, bu bizning axloqiy tadqiqot amaliyotiga qat'iy sodiqligimizni aks ettiradi.
O'rganishni bajarish va ma'lumotlarni yig'ish
Yakuniy va tasdiqlangan tadqiqot loyihasi bilan tadqiqot kelishilgan rejaga muvofiq puxtalik bilan amalga oshiriladi. Ushbu bosqich eksperimental protseduralarni bajarish, ma'lumotlarni to'plash, kerakli tahlillarni o'tkazish va siz bilan doimiy aloqani davom ettirish, tadqiqotning borishi haqida muntazam yangilanishlarni taqdim etishni o'z ichiga oladi.
Ma'lumotlarni tahlil qilish, hisobot yaratish va keyingi qo'llab-quvvatlash
Eksperimental bosqichni tugatgandan so'ng, Prisys Biotech ilg'or vositalar va metodologiyalardan foydalangan holda ma'lumotlarni to'liq tahlil qiladi. Keyin biz barcha tegishli ma'lumotlarni, talqinlarni va xulosalarni o'z ichiga olgan keng qamrovli tadqiqot hisobotini ishlab chiqamiz va sizga dori ishlab chiqarish bo'yicha qarorlaringizni xabardor qilish uchun qimmatli tushunchalarni taqdim etamiz. Bundan tashqari, biz tadqiqot yakunidan keyin paydo bo'lishi mumkin bo'lgan har qanday so'rov yoki talablarni, jumladan, ma'lumotlarni aniqlashtirish, qo'shimcha tadqiqotlar yoki normativ hujjatlarni taqdim etishda yordam berish uchun doimiy yordamni taklif qilamiz.
Sertifikatlar
Prisys Biotech AAALAC akkreditatsiyasi, Hayvonlardan foydalanish litsenziyasi va maxsus IACUC tomonidan tasdiqlangan sifat va axloqiy xatti-harakatlarning eng yuqori standartlarini qo'llab-quvvatlaydi. Bizning inshootlarimiz BSL-2 standartlariga mos keladi va sifat menejmenti tizimi ISO9001ga mos keladi. Ushbu hisob ma'lumotlari tadqiqot xizmatlarimizning ishonchliligi, yaxlitligi va axloqiy asosini ta'minlaydi.



PRISYS Translational Research Center (PTRC) NHP tadqiqotiga ixtisoslashgan yetakchi muassasa hisoblanadi. PTRC dori samaradorligi, xavfsizlik farmakologiyasi va erta kashfiyotlarni o'z ichiga olgan tadqiqotlar uchun keng qamrovli imkoniyatlarni taklif etadi. Markaz turli tadqiqot yo'nalishlari bo'yicha yuqori sifatli ma'lumotlarni olish imkonini beruvchi KT, MRI kabi zamonaviy tasvirlash uskunalariga ega. PTRC ning in vitro sinov platformasi ixtisoslashtirilgan neyro-xarakat va nafas olish laboratoriyalari bilan birgalikda markaziy asab tizimi, nafas olish, metabolik va oftalmologik kasalliklar bo'yicha ilg'or tadqiqotlarni qo'llab-quvvatlaydi. Muassasa AAALAC akkreditatsiyasidan o'tgan, rivojlanayotgan atrof-muhitni boyitish dasturlari bilan jihozlangan, hayvonlarni parvarish qilish va tadqiqot sifatining eng yuqori standartlarini ta'minlaydigan hayvonlar xonalariga ega.



























